¿Qué es la Caries Dental?
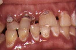
La caries dental es la destrucción de los tejidos duros de los dientes causada por la presencia de ácidos producidos por las bacterias de la placa depositada en las superficies dentales.
Este deterioro y susceptibilidad de los dientes a las caries está muy influenciado por la herencia, el estilo de vida que llevamos, la dieta y hábitos de higiene que tenemos; además de la presencia de flúor en la sal y la crema dental que utilizamos.
Los tipos de caries incluyen:
- Caries de corona: Son las más comunes, se presentan tanto en niños como en adultos, y generalmente sobre las superficies de masticación o entre los dientes.
- Caries radicular: a medida que avanzamos en edad, las encías se retraen, dejando expuestas partes de la raíz del diente. Como las raíces no están recubiertas por esmalte, estas zonas expuestas pueden afectarse fácilmente.
- Caries recurrentes: se pueden formar alrededor de las obturaciones y coronas existentes. Sucede debido a que dichas zonas tienen tendencia a acumular placa, lo cual finalmente produce la formación de caries.
Los adultos corren especial riesgo de padecer caries si sufren de sequedad bucal, que es un trastorno provocado por la falta de saliva debido a algunas enfermedades, el uso de algunos medicamentos, y a tratamientos de radioterapia y quimioterapia. La sequedad bucal puede ser temporal o permanente, según su origen.
Las caries pueden ser graves ya que si no se tratan, pueden destruir el diente y matar los delicados nervios de su interior, lo cual puede provocar un absceso (una infección en el extremo de la raíz). Una vez formado un absceso, el único tratamiento posible es la endodoncia (también llamada tratamiento del conducto radicular), una cirugía o la extracción del diente.
¿Cómo sé si tengo una caries?
Sólo su odontólogo puede determinar con seguridad si tiene una caries. Esto se debe a que las caries se desarrollan debajo de la superficie del diente, donde no puede verlas. Cuando ingiere alimentos que contienen carbohidratos (azúcares y almidones), las bacterias de la placa los consumen y producen ácidos que destruyen el diente. Con el tiempo, el esmalte dental comienza a desmineralizarse y así se forma una caries.
Las caries son más proclives a desarrollarse en las fosas de las superficies de masticación de los dientes posteriores, entre los dientes y cerca de la encía.
Sin embargo, independientemente de dónde aparezcan, el mejor modo de localizarlas y tratarlas antes de que se agraven es visitar al odontólogo y someterse a revisiones o controles regulares.
¿Cómo puede ayudar a prevenir las caries?
- Cepíllese los dientes por lo menos dos veces al día y utilice hilo dental diariamente para eliminar la placa depositada entre los dientes y debajo de la encía.
- Sométase a revisiones dentales periódicas. La atención preventiva ayuda a evitar que ocurran problemas y que los problemas menores se conviertan en mayores.
- Lleve una dieta equilibrada restringida en alimentos con almidones o azúcares. Cuando ingiera estos alimentos, intente hacerlo junto a una comida y no entre comidas para minimizar así la cantidad de veces que expone sus dientes al ácido que producen las bacterias.
- Utilice productos dentales que contengan flúor, incluida la crema dental.
- Asegúrese de que el agua que beben sus hijos contenga un nivel adecuado de flúor. La medida masiva para obtener el flúor necesario para los dientes es la sal; que no debe consumirse en zonas donde el agua natural trae cantidades grandes de fluoruro y en ese caso se utilizará sal sin fluoruro. Consulte a la autoridad sanitaria de su localidad para saber qué tipo de sal debe consumir.
¿Qué es la Placa Bacteriana?
Es una película incolora, pegajosa compuesta por bacterias y azúcares que se forma y adhiere constantemente sobre nuestros dientes.
Es la principal causa de las caries y de enfermedad de las encías y pueden endurecerse y convertirse en sarro o cálculo dental si no se retira diariamente.
¿Cómo sé si tengo placa bacteriana?
Todos tenemos placa porque las bacterias se forman constantemente en nuestra boca. Para crecer y desarrollarse, las bacterias utilizan residuos provenientes de nuestra dieta y saliva. La placa provoca caries cuando al producirse los ácidos, éstos atacan a los dientes después de comer. Los ataques ácidos repetidos destruyen el esmalte dental y originan caries. Además, si la placa no se elimina correctamente irrita las encías alrededor de los dientes y da origen a una gingivitis (encías sangrantes, inflamadas y enrojecidas), a enfermedades periodontales (enfermendad en los tejidos de soporte del diente) e incluso a pérdida de piezas dentales.
¿Cómo prevenir la formación de placa bacteriana?
Con los cuidados adecuados, es fácil prevenir la formación de placa.
Es importante tener los siguientes cuidados:
- Cepillece cuidadosamente, por lo menos dos veces al día, para retirar la placa adherida a la superficie de los dientes.
- Use hilo dental diariamente para retirar la placa que se forma entre los dientes y debajo del borde de las encías, donde el cepillo dental no llega.
- Limite el consumo de almidones y azúcares, especialmente alimentos pegajosos.
- Programe un calendario de visitas regulares al odontólogo para las limpiezas profesionales y los exámenes odontológicos.
¿Qué es el Sarro o Cálculo Dental?
El sarro, también denominado cálculo o tártaro dental, es la placa bacteriana que se ha endurecido sobre sus dientes, debido al depósito de minerales sobre la placa bacteriana. También se puede formar en el borde de las encías y debajo de ellas y puede irritar los tejidos gingivales.
El sarro proporciona a la placa una superficie más extensa donde crecer y más pegajosa donde adherirse, lo cual deriva en afecciones más graves como caries y enfermedades de las encías.
El sarro no sólo amenaza la salud de sus dientes y encías, sino que también constituye un problema estético.
Como es más poroso, absorbe las manchas con facilidad. Por lo tanto si usted toma café o té, o fuma, es de especial importancia que evite la formación de sarro.
¿Cómo sé si tengo cálculos dentales?
A diferencia de la placa que es una película incolora, el sarro es una formación de minerales fácilmente visible si se localiza por encima de la línea de las encías. El indicador de sarro más común es observar un color marrón o amarillento en los dientes o encías. El único modo cierto de detectar la presencia de sarro y de retirarlo es acudir a su odontólogo.
¿Cómo prevenir la formación de Cálculos Dentales?
Para reducir la formación de sarro y reducir la placa es importante cepillarse correctamente, especialmente con una crema dental para control de sarro, y utilizar hilo dental.
Una vez que el sarro se ha depositado en sus dientes, sólo su odontólogo o higienista podrán retirarlo. El proceso para retirar el sarro se denomina "raspado radicular". Durante este procedimiento, el odontólogo o higienista utilizan instrumentos especiales con los que retiran el sarro que se encuentra a la vista sobre los dientes y el que se halla debajo de la línea de las encías.
¿Las encías se enferman?
La enfermedad de las encías es una inflamación de las mismas que puede avanzar hasta afectar el hueso que rodea y sostiene a los dientes. Es causada por las bacterias, al formarse constantemente sobre los dientes una película transparente y pegajosa. Si no la elimina diariamente con el cepillado y el uso del hilo dental, la placa se acumula y las bacterias pueden infectar no sólo la encía superficial y los dientes, sino también el tejido gingival y el hueso que sostiene los dientes. Esta puede ser una causa para que los dientes se aflojen, se caigan o que finalmente el odontólogo los tenga que extraer.
Hay tres etapas de la enfermedad de las encías:
· Gingivitis: Esta primera etapa de la enfermedad es una inflamación de las encías provocada por la acumulación de placa en el borde de la misma, la cual, al no ser eliminada por el cepillado y el uso diario del hilo dental, produce toxinas que irritan el tejido gingival, causando gingivitis. Puede observarse sangrado durante el cepillado, al usar el hilo dental o incluso de manera espontánea. En esta primera etapa de la enfermedad, el daño puede revertirse, ya que el hueso y el tejido conectivo que sostiene los dientes en su lugar todavía no han sido afectados.
· Periodontitis: En esta etapa, el hueso y las fibras que sostienen los dientes en su lugar sufren daños irreversibles. Se forma una bolsa debajo del borde de las encías, donde quedan atrapados los alimentos y la placa. El tratamiento dental adecuado y una atención en el hogar más cuidadosa, generalmente, ayudan a prevenir daños mayores.
· Periodontitis avanzada: En esta etapa final de la enfermedad, se destruyen las fibras y el hueso que sostiene los dientes, lo que hace que los dientes se desplacen o se aflojen. La mordida puede verse afectada y, si no se realiza un tratamiento adecuado, puede suceder que el odontólogo tenga que extraer los dientes.
¿Cómo sé si tengo la enfermedad de las encías?
La misma puede ocurrir a cualquier edad, pero es más común en los adultos. Si se la detecta en sus primeras etapas, puede revertirse.
Consulte al odontólogo si observa alguno de los siguientes síntomas:
- Las encías están enrojecidas, inflamadas o sensibles.
- Hay sangrado de encías al cepillarse o al utilizar el hilo dental.
- Los dientes parecen ser más largos porque las encías se han retraído y se ven las raíces.
- Se sienten cambios en el modo en que cierran los dientes al morder.
- Puede haber salida de pus entre los dientes y las encías.
- Se percibe constantemente, la presencia de mal aliento o mal sabor en la boca
¿Cómo se trata la enfermedad de las encías?
Las primeras etapas de la enfermedad, por lo general, pueden revertirse con el cepillado correcto y el uso apropiado del hilo dental. Una buena salud bucal ayudará a evitar la formación de placa.
Una limpieza profesional llevada a cabo por el odontólogo o el higienista es el único modo de eliminar la acumulación de placa que se ha endurecido y convertido en sarro. Su odontólogo o higienista limpiará sus dientes para eliminar el sarro por encima y por debajo del borde de la encía.
Si su afección es más grave, quizá lleve a cabo un procedimiento de alisado de las raíces. El alisado radicular ayuda a eliminar las irregularidades de las raíces dentales, dificultando el depósito de la placa.
Mediante la programación de revisiones periódicas, la enfermedad de las encías en sus primeras etapas puede tratarse, antes de que se transforme en un trastorno más serio. Si la enfermedad está en un estado más avanzado, necesitará de un tratamiento a realizar en el consultorio.
¿Qué son las irritaciones y las lesiones bucales? Las irritaciones y las lesiones bucales son protuberancias, manchas o llagas en la boca, los labios o la lengua. Si bien existen muchos tipos de llagas y trastornos bucales, entre los más comunes se encuentran las aftas, el herpes labial, las leucoplasias y la candidiasis. |
|
¿Qué es el cáncer bucal? El cáncer bucal se produce en los labios (generalmente, en el inferior), dentro de la boca, en la parte posterior de la garganta, en las amígdalas o en las glándulas salivales. Afecta con mayor frecuencia a los hombres que a las mujeres, y principalmente lo padecen personas mayores de 40 años. El tabaquismo en combinación con la ingesta fuerte de alcohol constituye factores claves de riesgo. La detección tardía del cáncer bucal, puede implicar cirugía, terapia radiante y quimioterapia. También, puede resultar fatal con un porcentaje de sobrevida de cinco años para aproximadamente el 50% de los casos. Ese pronóstico negativo se debe en parte a la falta de identificación de los primeros síntomas de la enfermedad, por lo tanto, la detección temprana del cáncer bucal es fundamental para el éxito del tratamiento. ¿Cuáles son los síntoma del cáncer bucal? Usted, no siempre, podrá identificar los primeros signos de alerta, de allí la importancia de las revisiones odontológicas y médicas regulares. Su odontólogo cuenta con la capacitación necesaria para identificar las señales de alerta del cáncer bucal. No obstante, además de los controles regulares, usted debe visitar a su odontólogo si observa alguna de las siguientes anomalías:
¿Cómo prevenir el cáncer bucal? Si usted no fuma ni masca tabaco, no comience a hacerlo jamás. El 80 o 90% de los casos de cáncer bucal se deben al tabaquismo. Tabaquismo: la relación entre tabaquismo y cáncer de pulmón y enfermedades cardíacas ha sido extensamente probada. Fumar es perjudicial para su salud en general y dificulta la lucha de su sistema inmune contra las infecciones o la recuperación de heridas y cirugías. Entre los adultos jóvenes, fumar puede producir atrofias en el crecimiento y dificultades de desarrollo. Un gran número de fumadores manifiestan que no huelen o saborean los alimentos como antes. El tabaquismo también implica riesgos de mal aliento y de dientes manchados. Su salud bucal también se pone en riesgo cada vez que enciende un cigarrillo. Fumar cigarrillos, pipa o cigarros aumenta considerablemente las posibilidades de desarrollar cáncer de laringe, garganta y esófago. Como la mayoría de las personas no conoce o ignora los primeros síntomas, el cáncer bucal se disemina antes de su detección. Masticación de tabaco: los usuarios crónicos de tabaco sin humo tienen 50 veces más riesgos de desarrollar cáncer bucal que los demás. Lo mejor es no fumar cigarrillos, cigarros o pipas, o masticar tabaco o tomar rapé. Las personas que dejan de consumir tabaco, aún después de muchos años de uso, reducen significativamente el riesgo de contraer cáncer bucal. El consumo crónico o intenso de alcohol también aumenta el riesgo de cáncer, y el alcohol combinado con el tabaco constituye un factor de riesgo especialmente alto. ¿Cómo se trata el cáncer bucal? Después del diagnóstico, un equipo de especialistas (incluye un cirujano bucal y un odontólogo) desarrollan un plan de tratamiento que se adapta a las necesidades de cada paciente. Habitualmente se necesita realizar una cirugía y, luego, se aplica una terapia de rayos y quimioterapia. Es importante la visita al odontólogo porque él conoce los cambios que estas terapias ocasionarán en su boca. ¿Cuáles son los efectos colaterales de la terapia con rayos X? Cuando se usa una terapia radiante en la cabeza y el cuello, un gran número de personas sufren irritaciones en la boca, sequedad, dificultades en la deglución y cambios en el gusto. Los rayos X también incrementan las probabilidades de caries, por eso es especialmente importante el cuidado de dientes, encías, boca y garganta durante el tratamiento. Consulte con el especialista en cáncer sobre los problemas bucales que pueden suscitarse durante o después del tratamiento con rayos X. Consulte a a su odontólogo antes de comenzar una terapia de rayos X contra el cáncer en cabeza y cuello, pregúntele qué puede hacer antes, durante y después del tratamiento para evitar efectos colaterales bucales. ¿Cómo mantengo la salud bucal durante la terapia?
Manifestaciones Orales Asociadas con VIH/SIDA
|
|
Un resultado positivo del VIH no significa que usted tenga SIDA. El SIDA es un diagnóstico médico realizado por un doctor que se basa en criterios específicos. Tampoco se puede confiar en los síntomas para saber si uno está infectado con VIH. Un gran número de personas infectadas con VIH no presentan síntomas durante varios años.
|

.jpg)

No hay comentarios:
Publicar un comentario